हार्ट-चेस्ट एवं वैस्कुलर सर्जरी विभाग की बड़ी उपलब्धि, बचाया गया युवक का हाथ
Healthbhaskar.com: रायपुर, 10 फरवरी 2026 । पंडित जवाहरलाल नेहरू स्मृति चिकित्सा महाविद्यालय एवं डॉ. भीमराव अंबेडकर स्मृति चिकित्सालय (मेकाहारा), रायपुर के हार्ट-चेस्ट एवं वैस्कुलर सर्जरी विभाग ने चिकित्सा क्षेत्र में एक और ऐतिहासिक उपलब्धि दर्ज की है। चाकू से हुए जानलेवा हमले में कटी हुई मुख्य धमनी सबक्लेवियन आर्टरी को सफलतापूर्वक जोड़कर डॉक्टरों की टीम ने न केवल युवक की जान बचाई, बल्कि उसका हाथ कटने से भी बचा लिया। यह सर्जरी छत्तीसगढ़ में संभवतः पहली बार इस स्तर की जटिलता के साथ सफलतापूर्वक की गई है।
इस अत्यंत चुनौतीपूर्ण ऑपरेशन का नेतृत्व हार्ट-चेस्ट एवं वैस्कुलर सर्जरी विभागाध्यक्ष डॉ. कृष्णकांत साहू द्वारा किया गया तथा उनके नेतृत्व में डॉक्टरों की बहुविषयक टीम ने चार घंटे तक चले जटिल ऑपरेशन के माध्यम से असंभव को संभव कर दिखाया है।
चाकू से हुआ हमला, कुछ ही मिनटों में जीवन संकट में
घटना रायपुर जिले के अमलेश्वर निवासी 34 वर्षीय युवक से जुड़ी है, जो एक इलेक्ट्रिक व्हीकल कंपनी में कार्यरत है। परिजनों के अनुसार, युवक अपने परिवार के साथ मोटरसाइकिल से रायपुर रेलवे स्टेशन की ओर जा रहा था। इसी दौरान एक इलेक्ट्रिक रिक्शा से उसकी टक्कर हो गई। मामूली विवाद देखते ही देखते हिंसक झड़प में बदल गया और रिक्शा चालक ने युवक के बाएं कंधे पर धारदार चाकू से हमला कर दिया था।
हमला इतना गंभीर था कि कंधे की हड्डी के पीछे से गुजरने वाली मुख्य धमनी सबक्लेवियन आर्टरी पूरी तरह कट गई थी। कुछ ही क्षणों में धमनी से खून का तेज फव्वारा निकलने लगा और युवक अचेत हो गया। आसपास मौजूद लोगों ने तत्काल उसे अंबेडकर अस्पताल के ट्रॉमा यूनिट पहुंचाया, जहां प्राथमिक उपचार के तहत घाव में कॉटन गॉज भरकर रक्तस्राव को अस्थायी रूप से रोका गया था।
हाथ कटने का खतरा, हर मिनट था कीमती
हालांकि रक्तस्राव नियंत्रित हो गया, लेकिन इसके साथ ही बाएं हाथ में रक्त प्रवाह भी बंद हो गया। कुछ ही समय में हाथ काला पड़ने लगा और उसमें कोई हलचल नहीं रही। चिकित्सकों के अनुसार, यदि समय रहते सर्जरी नहीं होती तो हाथ को काटना अनिवार्य हो जाता और युवक जीवन भर के लिए दिव्यांग बन जाता।
घायल युवक के परिजन युवक को अन्य अस्पतालों में भी लेकर गए, लेकिन चोट की गंभीरता और जटिलता के कारण सभी जगह इलाज से मना कर दिया गया। अंततः मरीज को पुनः मेकाहारा के हार्ट-चेस्ट एवं वैस्कुलर सर्जरी विभाग में लाया गया, जहां डॉ. कृष्णकांत साहू के नेतृत्व में तत्काल आपातकालीन ऑपरेशन का निर्णय लिया गया।
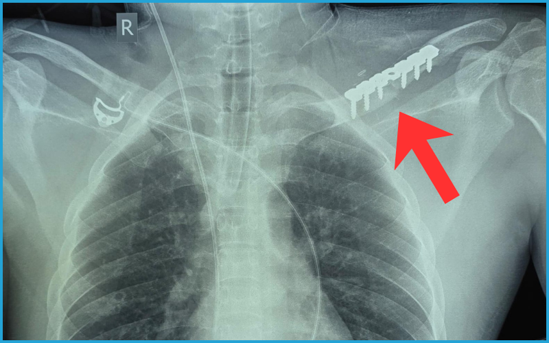
अत्यंत जटिल सर्जरी: कॉलर बोन काटकर बनाई धमनी तक पहुंच
डॉ. कृष्णकांत साहू ने बताया कि सबक्लेवियन आर्टरी की सर्जरी विशेष रूप से इसके दूसरे भाग में बेहद चुनौतीपूर्ण होती है, क्योंकि यह धमनी छाती के भीतर कॉलर बोन के पीछे स्थित रहती है। पट्टी हटाते ही भारी रक्तस्राव का खतरा बना रहता है, इसलिए वैस्कुलर कंट्रोल सबसे महत्वपूर्ण था।
स्थिति की गंभीरता को देखते हुए सर्जिकल टीम ने कॉलर बोन को काटकर धमनी तक पहुंच बनाने का साहसिक निर्णय लिया। ऑर्थोपेडिक सर्जनों की सहायता से कंधे की हड्डी काटी गई और क्षतिग्रस्त धमनी को स्पष्ट रूप से देखा गया। जांच में पाया गया कि लगभग 3 सेंटीमीटर लंबाई तक धमनी पूरी तरह नष्ट हो चुकी थी।
कृत्रिम नस लगाकर जोड़ी गई कटी धमनी
क्षतिग्रस्त धमनी को जोड़ने के लिए 7×30 मिमी का डेक्रॉन ग्राफ्ट लगाया गया। यह एक विशेष प्रकार की कृत्रिम नस होती है, जिससे रक्त प्रवाह को पुनः स्थापित किया जाता है। करीब चार घंटे तक चले ऑपरेशन के दौरान मरीज को लगभग 5 यूनिट रक्त चढ़ाया गया। सर्जरी की सबसे बड़ी चुनौती ब्रैकियल प्लेक्सस तंत्रिका तंत्र को सुरक्षित रखना थी, क्योंकि इसमें क्षति होने पर हाथ में स्थायी लकवे का खतरा रहता है। डॉक्टरों ने अत्यंत सावधानीपूर्वक यह प्रक्रिया पूरी की।ऑपरेशन के अंतिम चरण में कॉलर बोन को पुनः प्लेट लगाकर जोड़ा दिया गया, जिससे हाथ की संरचना और मजबूती बनी रहे।

सफलता की कहानी: अब पूरी तरह स्वस्थ है मरीज
सर्जरी के बाद मरीज की स्थिति में तेजी से सुधार के साथ हाथ में रक्त प्रवाह सामान्य है। वर्तमान में मरीज पूरी तरह स्वस्थ है और अपने दैनिक कार्यों में लौट चुका है। डॉक्टरों के अनुसार, यदि कुछ घंटे और देरी हो जाती तो गैंगरीन की स्थिति उत्पन्न हो जाती और हाथ काटना अपरिहार्य होता।
डॉक्टरों और नर्सिंग स्टाफ की समर्पित टीम
इस जटिल ऑपरेशन को सफल बनाने वाली टीम में हार्ट-चेस्ट एवं वैस्कुलर सर्जन डॉ. कृष्णकांत साहू, ऑर्थोपेडिक सर्जन ,डॉ. प्रणय श्रीवास्तव, डॉ. लोमेश साहू ,एनेस्थेटिस्ट डॉ. संकल्प दीवान, डॉ. बालस्वरूप साहू, जूनियर डॉक्टर में डॉ. आयुषी खरे, डॉ. ख्याति, डॉ.आकांक्षा साहू, डॉ.संजय त्रिपाठी, डॉ.ओमप्रकाश शामिल थे। नर्सिंग स्टाफ में राजेन्द्र, नरेन्द्र, मुनेश, चोवा, दुष्यंत एवं एनेस्थीसिया तकनीशियन में भूपेन्द्र, हरीश टीम में शामिल थे।
प्रशासन की प्रतिक्रिया
डॉ. विवेक चौधरी, डीन, पं. नेहरू चिकित्सा महाविद्यालय, रायपुर ने कहा कि यह सफलता न केवल अम्बेडकर अस्पताल बल्कि पूरे छत्तीसगढ़ के लिए गर्व का विषय है। यह सिद्ध करता है कि सरकारी अस्पतालों में भी उच्चस्तरीय और जीवन रक्षक चिकित्सा सुविधाएं उपलब्ध हैं। डॉ. संतोष सोनकर, अधीक्षक, अम्बेडकर अस्पताल ने कहा कि सबक्लेवियन आर्टरी जैसी महत्वपूर्ण धमनी की मरम्मत हर अस्पताल में संभव नहीं होती। हमारी टीम के समन्वित प्रयास से यह संभव हो सका, जो चिकित्सा क्षेत्र में मील का पत्थर है।

